0

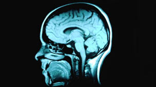
Ressonância pode identificar crianças disléxicas antes de entrar na escola


Crianças com risco de desenvolver dislexia apresentam diferença na atividade cerebral. É o que indica um estudo realizado por meio de imagens de ressonância magnética no Children’s Hospital de Boston, nos Estados Unidos.
O estudo, feito em colaboração com pesquisadores da Universidade Harvard, será publicado na revista Proceedings of the National Academy of Sciences (PNAS).
De acordo com a pesquisa, as diferenças na atividade cerebral podem ser identificadas até mesmo antes de as crianças começarem a ler. Como a dislexia desenvolvimental (de origem genética) responde à intervenção precoce, diagnosticar indivíduos com risco de desenvolver a doença antes ou durante a pré-escola pode ajudar a diminuir futuras dificuldades e frustrações com o aprendizado.
A dislexia desenvolvimental (que não é causada por trauma no cérebro) afeta de 5% a 17% das crianças. Uma em cada duas crianças com histórico familiar do distúrbio pode ter problemas de leitura e aprendizagem.
No novo estudo, os pesquisadores, liderados por Nora Raschle, do Children's Hospital, realizaram exames de ressonância magnética em 36 crianças com idade média de cinco anos e meio. Os exames foram feitos enquanto os pacientes faziam atividades envolvendo palavras e seus sons.
Os resultados indicaram que crianças com histórico familiar de dislexia tinham atividade metabólica reduzida em determinadas regiões do cérebro. As regiões com menor atividade do que as do grupo controle (sem histórico do problema) eram as junções entre os lobos occipital e temporal e entre os lobos temporal e parietal.
De acordo com Raschel, eles sabiam que adultos e crianças mais velhas com dislexia têm disfunções nessas mesmas regiões cerebrais. O que o novo estudo indica é que a capacidade do cérebro de processar sons da linguagem é deficiente mesmo antes de as crianças começarem a receber instruções para aprender a ler.
O estudo também mostrou que crianças com risco de desenvolver dislexia não apresentaram aumento na atividade das regiões frontais do cérebro, como se vê em crianças mais velhas e em adultos com o distúrbio. Segundo os cientistas, isso sugere que essas áreas do cérebro se tornam ativas apenas quando as crianças começam a aprender a ler.
Os pesquisadores esperam poder identificar crianças com risco de desenvolver dislexia, enquanto ainda estiverem com idade pré-escolar, para que as consequências sociais e psicológicas negativas possam ser reduzidas.
O artigo Functional characteristics of developmental dyslexia in left-hemispheric posterior brain regions predate reading onset (doi/10.1073/pnas.1107721109), de Nora Maria Raschle e outros, poderá ser lido em breve por assinantes da PNAS emwww.pnas.org/cgi/doi/10.1073/pnas.1107721109.

Leia Mais ►
0

Cuidados com a Voz: uma tarefa de todos


Para muitos profissionais a voz é um instrumento fundamental para o desenvolvimento suficiente do trabalho. Ator, cantor, advogado, professor, locutor esportivo, telefonista, repórter e apresentador de televisão são algumas das profissões que dependem muito da voz e exigem alguns cuidados especiais que nem sempre são observados. Para explicar melhor quais cuidados deve-se ter com a voz e o que acontece caso esses cuidados não sejam tomados, o Idmed convidou a fonoaudióloga e especialista em voz Valéria Leal. Veja abaixo.

Quais são os cuidados primordiais que uma pessoa deve ter com relação à voz?
Esses cuidados e orientações vão variar dependendo da especificidade do trabalho do profissional da voz. Os cuidados vocais que, por exemplo, os cantores de trio elétrico precisam ter são bem mais específicos do que os da população em geral. Podemos enfatizar como regra para todos evitar gritar, evitar pigarrear, evitar falar com esforço, se hidratar adequadamente, principalmente em ambientes com ar condicionado, evitar o inimigo número 1 da voz, que é o tabagismo, evitar o uso de álcool, o uso de drogas, inalação de substâncias tóxicas... Essas são as recomendações gerais.
Mas para cada grupo de profissionais existem cuidados específicos. Por exemplo, os professores, operadores de telemarketing e radialistas devem consumir 400 ml de água fresca 30 minutos antes do início do uso profissional da voz e devem se hidratar durante todo o uso vocal, seja dando aula ou apresentando programas de rádio. Eles também podem fazer a aspiração do soro fisiológico pelo nariz, pois hidrata. Alguns cantores fazem nebulização com soro fisiológico, junto com aquecimento vocal, antes de cantar e ao final também, além de realizarem treinamento de resistência vocal e condicionamento para cantar por longos períodos. De maneira geral também pode-se fazer gargarejo com água morna, uma pitada de sal e um pouco de mel de boa procedência.
O que é contraindicado são pastilhas ou sprays que contenham anestésicos sem indicação médica, pois eles mascaram os sintomas de infecções ou problemas vocais.

Então podemos dizer que os cuidados com a voz não são generalizados?
O cuidado e o treinamento vocal estão relacionados com o tipo de trabalho e a demanda (com a voz) que o profissional vai ter. Para um cantor lírico, por exemplo, o menor problema vocal é potencializado, devido à grande demanda vocal que ele tem. Para esses cantores qualquer sinal de aspereza, soprosidade ou mesmo uma leve rouquidão podem interferir intensamente no desempenho. Já para um cantor de rock, do ponto de vista artístico, é tolerável uma leve rouquidão ou aspereza na voz. Alguns profissionais da voz precisam de treinamento específico para potência vocal, outros para resistência, outros ainda para projeção ou suavidade na emissão. Tudo depende da natureza da atividade vocal.

Quais são os principais problemas que podemos ter relacionados à voz?
Tem muitos profissionais da voz que apresentam refluxo gastroesofágico, resultado de dieta alimentar irregular, inadequada ou do hábito de se alimentar muito antes de dormir. A pessoa acaba fazendo a digestão durante o sono e pode haver o aumento do volume do suco gástrico. Então, pessoas que têm esofagite, gastrite, refluxo gastroesofágico podem vir a desenvolver problemas vocais, como edema, vermelhidão, amigdalite, laringite, faringite, tosse seca, pigarro, rouquidão e sensação de "bolo na garganta".

Quais alimentos são indicados para a boa manutenção da voz?
Dentre os alimentos considerados favoráveis, temos, por exemplo, a maçã, que tem uma substância que funciona como se fosse um adstringente. Se a pessoa não sofre do problema de refluxo, também são indicados alimentos cítricos, que estimulam a salivação.

Quais cuidados deve ter uma pessoa que trabalha com a voz o dia todo?
Antes de falar deve-se evitar bebidas gaseificadas, excesso de chocolate (devido à gordura, que engrossa a saliva), bebidas alcoólicas e comidas condimentadas. Os profissionais que usam a voz devem consumir alimentos leves 2 horas e meia antes de falar.

O que é a Campanha Mundial da Voz?
A Campanha Mundial da Voz foi iniciada no Brasil em dezembro de 2006, devido ao fato do Brasil ser o vice-campeão em incidência de câncer de laringe. Essa campanha foi uma iniciativa da Sociedade de Otorrinolaringologia em conjunto com a Sociedade Brasileira de Fonoaudiologia, e instituiu-se o dia 16 de abril como o Dia Nacional da Voz. Essa campanha se espalhou pelo mundo, e desde então vários artistas já participaram, com o intuito de reduzir a incidência de câncer de laringe, que é causado, em sua maioria, pelo uso de substâncias tóxicas, principalmente pelo uso do cigarro, pelo tabagismo. No Brasil são 15 mil casos por ano e 8 mil mortes devido à falta do diagnóstico precoce. Uma rouquidão é minimizada normalmente por um leigo, pois não dói, gerando só um desconforto. Uma rouquidão pode ser um sintoma absolutamente temporário, fruto de uma gripe, um resfriado ou de um abuso vocal. Mas se uma rouquidão dura mais de 10 dias, ela deve ser investigada. O grupo de maior risco são homens fumantes na faixa de 50 a 60 anos, pessoas que já fumam há 15, 20 anos. As pessoas que nos preocupam mais são aquelas que apresentam voz rouca e áspera ao mesmo tempo. As mulheres também passaram a fazer parte do grupo de risco porque também passaram a fazer uso do fumo.

Qual a principal recomendação para que as pessoas cuidem melhor da voz?
Vale lembrar que as cordas vocais não podem ser trocadas! Esse é um mecanismo extremamente delicado. As pregas vocais têm uma função primordial que é abrir a passagem do ar para os pulmões e também de defesa, que é expulsar, através da tosse, qualquer organismo que possa causar algum problema.
Esse mecanismo também sofre por emoções, por mudança de temperatura, por infecções respiratórias, por mau uso vocal, por abuso vocal, por uso da voz em tom inadequado e pela intensidade muito forte da voz. A voz é um tesouro, é a melodia pessoal que tem o poder de atrair ou repulsar as pessoas. Uma voz de boa qualidade conquista e uma voz de má qualidade afasta, principalmente as que apresentam aspereza. A voz também envelhece, assim como o restante do corpo. As pessoas que ao longo da vida cuidaram da saúde provavelmente vão possuir uma voz firme e de qualidade durante a velhice. A nossa voz na terceira idade vai dizer quem nós fomos e o que fizemos durante a vida.

http://idmed.uol.com.br/dicas-basicas/cuidados-com-a-voz-uma-tarefa-de-todos.html
Leia Mais ►
0

Mais da metade dos casos de Alzheimer podem ser prevenidos, segundo pesquisadores


De acordo com um estudo recente apresentado na Conferência Internacional da Associação de Alzheimer, mais da metade dos casos da doença de Alzheimer poderiam potencialmente ser prevenidos através de mudanças no estilo de vida e tratamento ou prevenção de condições médicas crônicas.
Pesquisas anteriores já identificavam uma série de fatores de risco para a doença de Alzheimer – incluindo doenças cardíacas e seus fatores de risco, níveis de atividade física e estímulo mental, e alimentação – mas não era claro como modificando esses fatores de risco resultaria na redução dos casos de Alzheimer.
Cientistas utilizaram modelagem matemática para calcular a porcentagem de casos de Alzheimer que poderiam ser atribuídos a esses fatores de risco modificáveis e, embora as premissas utilizadas ainda tenham que ser validadas, identificaram que sete fatores de risco contribuem para 17,2 milhões de casos no mundo todo, ou 51% de todos os casos.
O estudo conduzido pela equipe da Dra. Deborah Barnes, da Universidade da Califórnia, divulgou a proporção dos casos de Alzheimer no mundo que são potencialmente atribuíveis a cada um dos sete fatores de risco:
  • Baixo nível educacional: 19%
  • Fumo: 14%
  • Inatividade física: 13%
  • Depressão: 11%
  • Hipertensão na meia idade: 5%
  • Obesidade na meia idade: 2%
  • Diabetes: 2%
Os pesquisadores ficaram surpresos com a descoberta de que fatores como a falta de atividade física e fumar contribuem para mais casos de Alzheimer do que doenças cardiovasculares, de acordo com o modelo. Mas isso sugere que mudanças de estilo de vida relativamente simples como manter a mente ativa, aumentar a atividade física e parar de fumar podem ter um impacto dramático na redução número de casos de Alzheimer ao longo do tempo.
Como já divulgamos no artigo Mais um motivo para se praticar exercícios cerebrais, a doença de Alzheimer vem se tornando mais comum e um grande peso econômico para os sistemas de saúde na medida em que a população envelhece. Apesar das diversas pesquisas sobre o assunto, principalmente nos países ricos, ainda não há cura. Nos Estados Unidos, a doença de Alzheimer é a única causa de morte dentre as 10 maiores naquele país que não pode ser curada. E também a única em que as mortes estão crescendo enquanto as das outras doenças diminuem.
Então, você está esperando o que? Comece já a mudar seu estilo de vida e estimule seus familiares e amigos a fazerem o mesmo.

Leia Mais ►
0

Como o Autismo age no sistema nervoso?


Vamos aqui listar algumas características da doença e como ela age no nosso sistema nervoso.
Uma pessoa autista, como muitos devem saber, possui certas dificuldades de se relacionar socialmente e emocionalmente com outras pessoas. Essa doença causa uma distorção precoce do comportamento, pois afeta áreas do cérebro como o hipocampo, cerebelo e o sistema límbico.
Crianças autistas evitam frequentemente muitas espécies de contato físico, e parte do motivo é que a informação sensorial proveniente do mundo à sua volta lhes chega depressa demais para que seus cérebos consigam processá-las. Elas se sentem subjugadas por esse excesso de estímulos sensoriais exteriores. Uma reação típica é fecharem-se ou tentarem escapar aos estímulos. Isso é causado pois as pessoas autistas levam mais tempo para processar uma informação sensorial do que uma pessoa não autista. Isso faz com que as informações sensoriais cheguem de forma fragmentada, causando então dificuldades de atenção.
Devido a esse atraso no processamento de informações, uma criança autista não pode transferir sua atenção dos olhos para o nariz e então para a boca da mãe em fração de segundos, como o faz uma criança não autista. Assim, essa criança não pode abranger de uma só vez um rosto inteiro, apenas partes. Fica fácil perder uma pista social, como um sorriso ou uma carranca. O resultado é que o autista recebe uma informação parcial a respeito do mundo a sua volta, e por isso essa informação é frequentemente confusa.
Algumas pessoas autistas possuem aptidões senroriais normais, mas têm grande dificuldade em separar a informação importante do ruído. Não podem fixar prioridades para a multidão de sinais sensoriais que chegam ao cérebro. Para conseguir isso, as crianças autistas reagem exibindo comportamentos cujo objetivo primordial consiste em barrar o acesso da maciça e confusa sobrecarga sensorial. Fazem isso gritando, tapando os ouvidos ou correndo para refugiar-se num lugar tranquilo, evitando assim os ruídos.
Pessoas autistas podem se incomodar demais com as vestimentas, pois elas podem ser fontes de coceiras extremas. Podem também não gostar de serem abraçadas, por conta do excesso de informação tátil. As áreas do cérebro correspondendes as vias táteis mais afetados nos autistas são o lobo temporal, medula e tálamo. Pesquisas sugerem que durante o desenvolvimento do sistema nervoso dessas pessoas, ocorreu um número excessivo de neurônios nessas vias, fazendo assim com que o cérebro fosse sobrecarrecado de sensações.
Outros exemplos ainda podem ser os distúrbios alimentares. Crianças autistas enfrentam dificuldades alimentares, que resultam de problemas de processamento sensorial. Elas são, tipicamente, exigentes e difíceis de contentar, e mostram-se muitas vezes incapazes de tolerar a textura, cheiro, paladar ou som do alimento em suas bocas.
Com todas essas descrições, fica fácil entender agora a causa do isolamento social. Oras, se a informação sensorial chega rápida e impetuosamente demais para que a pessoa possa processá-la, uma reação natural é então evitar os estímulos opressivos.
Fonte: “O Cérebro um guia para o usuário” de John Ratey.
Leia Mais ►
0

NOVO ESTUDO: Uso de antidepressivos na gestação aumenta o risco de autismo em crianças

"Segundo um novo estudo, crianças cujas mães tomam Zoloft, Prozac, e outros antidepressivos similares durante a gravidez são duas vezes mais propensas a desenvolver autismo ou um distúrbio relacionado.
     Essa classe de antidepressivos, conhecidos como inibidores seletivos da recaptação da serotonina (ISRS), pode ser especialmente perigosa no início da gravidez: crianças expostas às drogas durante o primeiro trimestre tinham quase quatro vezes mais chances de desenvolver um distúrbio do espectro do autismo.
     O estudo incluiu menos de 300 crianças diagnosticadas com autismo ou doenças relacionadas. Usando um banco de dados de um hospital que inclui mais de 3,2 milhões de pessoas, a equipe identificou 298 crianças com a condição que nasceram entre 1995 e meados de 1999, e as compararam com 1.507 crianças sem autismo que tinham mais ou menos a mesma idade e nasceram no mesmo hospital.
     Em seguida, os cientistas checaram se suas mães, no ano antes do nascimento, preencheram prescrições para um ISRS, incluindo Prozac, Zoloft, Luvox, Celexa, e Paxil (ou suas versões genéricas). Os pesquisadores não puderam confirmar se as mães realmente tomaram a medicação, no entanto.
     20 das crianças com austimo (ou 6,7%) foram expostas a ISRS no útero, comparativamente com 50 (3,3%) das crianças no grupo de controle. Depois de levar em conta outros fatores que poderiam afetar tanto o risco de autismo quanto o uso de ISRS (tais como a idade da mãe, etnia e histórico de depressão ou outras doenças mentais), os pesquisadores descobriram que a exposição às drogas no útero aumenta o risco de diagnóstico de autismo em 2,2 vezes, enquanto no primeiro trimestre a exposição ao risco aumenta 3,8 vezes.
     Cerca de 12% das mães cujos filhos tinham autismo foram diagnosticadas com depressão ou outro distúrbio mental. Pesquisas anteriores já haviam descoberto um maior risco de autismo nos filhos de mães com transtornos mentais, mas o novo estudo não encontrou tal relação em mães que não tomaram ISRSs.
     Os pesquisadores alertam que essa é a primeira pesquisa sobre o assunto, e não prova que tomar ISRS durante a gravidez causa diretamente a condição. Os resultados precisam ser confirmados em estudos maiores, e as mulheres não devem se guiar por essas informações ainda.
     Segundo os médicos, deficiência mental materna durante a gravidez é um grave problema de saúde pública. Não tratar não é uma opção. Enquanto algumas crianças podem estar em risco por causa de uma exposição à ISRS, muitas mães e seus filhos se beneficiarão.
     Depressão não tratada durante a gravidez carrega seus próprios riscos, tais como nascimento prematuro e problemas de crescimento. Os riscos potenciais para a criança tem que ser equilibrados com o risco da mãe não ser tratada. Os pesquisadores não querem que as pessoas parem de tomar antidepressivos por causa da nova associação: o correto é conversar com seus médicos sobre a relação risco-benefício.
     Evidências de estudos anteriores sugerem que as pessoas com autismo têm anormalidades nos seus níveis e regulação de serotonina, uma substância química do cérebro envolvida no humor e vários outros processos biológicos. Os cientistas acreditam que os ISRSs aumentam a disponibilidade de serotonina no cérebro, uma vez que as drogas passam através da placenta, e poderiam influenciar o desenvolvimento de um bebê.
     Em estudos com animais, as mudanças nos níveis de serotonina durante a gravidez tiveram grandes efeitos no desenvolvimento do feto e da prole. Se houver efeitos similares em seres humanos, dizem os pesquisadores, eles podem variar dependendo da composição genética de uma criança.
     A grande maioria das crianças do estudo que foram expostas a ISRSs no útero não desenvolveu autismo. Há muitas crianças que sofrem exposição pré-natal a ISRS e que são resistentes: o próximo passo da pesquisa é descobrir quem está em risco e quem não está.
     A Administração de Drogas e Alimentos americana diz que, quando administradas em altas doses, drogas dessa categoria têm sido relacionadas com defeitos de nascimento em estudos com animais. Não ficou provado se elas são seguras ou inseguras em seres humanos, mas as grávidas devem usá-las apenas se o benefício potencial justificar o risco potencial para o feto.
     Sim, estudos com animais fornecem fortes evidências de que a exposição a altos níveis de serotonina no útero produz comportamentos autistas e mudanças na estrutura do cérebro. Como há poucos estudos realizados em humanos, os cientistas acreditam que a coisa mais sensata a se fazer é estar ciente dos riscos e pensar duas vezes antes de tomar tais drogas durante a gravidez."


Leia Mais ►
0

A importância da reabilitação neurológica nas lesões cerebrais

Muitas das deficiências físicas e neurológicas nas crianças têm sua origem em danos cerebrais ocorridos durante a gravidez ou na hora do parto. As lesões cerebrais em idades precoces podem ocasionar déficits motores, sensoriais e cognitivos, que geram problemas no desenvolvimento da criança por toda vida.
     O trabalho de rehabilitação neurológica é feita num curto, mas precioso espaço de tempo, quando ainda é possível impedir que as consequências da lesão cerebral tornem-se irreversíveis.
     De acordo com Thalia Harmony, diretora da Unidade de Investigação do Neurodesenvolvimento da Universidade Autônoma do México, de um grupo de 200 bebês com dano cerebral comprovado, 47% apresentaram desenvolvimento motor normal e 20% apresentaram melhora considerável após 18 meses de tratamento de rehabilitação neurológica.

     Muitos pais deixam de levar seus filhos às sessões do tratamento, o que acaba afetando o resultado final da terapia, diz Harmony.
     "Temos um problema sério de evasão no prazo de 6 meses, pois os pais vêem uma melhora e abandonam a terapia. Isso é preocupante para o bebê, porque ele pode fazer o que se espera dele com 6 meses, mas aos 10 meses, por exemplo, já não tem essa capacidade."
     Entre as causas mais comuns de lesões cerebrais estão a má nutrição materna, pouca idade da mãe, tabagismo, infecções intra-uterinas, asfixia e parto prematuro.

Leia Mais ►
0

Desenvolvimento Cognitivo

Para Piaget, o processo cognitivo, refere-se não apenas ao conhecimento ou de interpretação do mundo, mas implica também nas relações espaço-temporais e casuais, pois estas se constituem na condição da organização da experiência vivida pela criança.


Habilidades Cognitivas
1 a 2 anos
 -coloca um objeto dentro de recipiente,seguindo instrução verbal
-coloca objetos num recipiente,esvaziando-os depois
-empurra três cubos
-empilha três cubos
-coloca círculo e quadrado por tentativa e erro
-rabisca papel
-retira pinos da prancha perfurada
-tira um objeto de cada vez de dentro de um recipiente
-identifica algumas partes do corpo
-empilha três cubos com imitação
-associa objetos iguias
-reconhece figura ou pessoa conhecida
-folheia livros e revistas
-reconhece a si em fotografia


2 a 3 anos
 -encontra objetos iguais
-realiza encaixe de três peças
-imita uma linha vertical e horizontal
-imita desenhando um círculo
-coloca 4 contas grandes num fio
-constroi torre de até 6 peças
-nomeia gravuras do seu cotidiano
-monta quebra-cabeça com duas peças
-noção de cores
-faz pareamento de três cores
-noção de pequeno e grande
-combina forma geométrica com a figura correspondente

3 a 4 anos
 -monta quebra-cabeça de 5 partes
-constroi torre de até 10-12 blocos
-copia cruz e desenha círculo
-Discrimina e nomeia cores, formas, tamanho
-identifica várias partes do corpo

4 a 5 anos
-relaciona objetos desenhados
-relaciona objetos em diferentes posições
-identifica detalhes em objetos e desenhos
-tem noção de direita e esquerda em si mesmo
-identifica diferentes cores
-monta quebra-cabeça  de 12 peças
-noção de sequência lógica
-desenha quadrado e triângulo
-tem conceito de tamanho


6 a 7 anos
 -conhece direita e esquerda em objetos a sua frente
-desenha figuras
-percebe e combina figuras abstratas
-monta quebra-cabeça 36 peças

Cognição é o ato ou processo de conhecer, que envolve atenção, percepção, memória, raciocínio, juízo, imaginação, pensamento e linguagem.

O bebê pensa? De que forma?
O desenvolvimento se dá de maneira contínua desde os primeiros dias, e de acordo com Piaget, no início a criança ainda não representa internamente e não "pensa" conceitualmente. O seu pensamento é constituído pelas suas sensações (sensório) e movimentos (motor), ou seja , ela descobre as propriedades dos objetos do seu ambiente manipulando-os. Piaget descreveu vários estágios do desenvolvimento e de acordo com suas teorias, cada estágio é constituído sobre as estruturas do anterior e isto significa que cada etapa superada é uma preparação para o estágio seguinte. Assim, a criança necessita de estimulação visual, audititiva e tátil para que sua inteligência se desenvolva.

Papai e mamãe agora vocês já sabem:
- preciso de estímulos (auditivos, visuais, táteis e gustativos) para desenvolver e expressar minha inteligência.
Mas lembrem-se:
- preciso dos estímulos adequados e no momento certo. Tenho muita curiosidade, mas não tenho maturidade para escolher por mim mesma.

Idade: 0 - 1 ano

- Vira a cabeça em direção ao bico quando a bochecha é tocada.
- Abre a boca para mamadeira ou seio e começa a sugar antes do bico tocar a boca.
- Olha na direção ou movimenta o corpo em resposta ao som.
- Mostra resposta 'a voz do adulto através de movimento do corpo ou parando de chorar.
- Indica sensibilidade de contato do corpo através dos seguintes comportamentos: ficar quieto, chorar ou movimentar o corpo.
- Fica calmo ou muda de movimento do corpo em resposta 'a presença de uma pessoa.
- Chora diferentemente devido a desconfortos diversos.
- Segue visualmente um objeto da linha mediana do corpo.
- Segue a luz com os olhos virando a cabeça.
- Segue e procura localizar um som movimentando a cabeça na sua direção.
- Mantém contato visual durante alguns segundos.
- Golpeia objetos e tenta alcança-los. Esforça-se por agarrá-los.
- Observa sua mão.
- Segura objeto utilizando preensão palmar durante "30" segundos com liberação involuntária.
- Olha ao redor quando carregado.
- Olha para a pessoa,fala ou movimenta-se tentando ganhar sua atenção.
- Procura objeto que tenha sido removido de sua linha de visão.
- Tira pano do rosto que obscurece sua visão.
- Despeja objetos de um recipiente.
- Coloca objetos no recipiente, imitando.
- Tira objetos de recipiente, imitando.
- Chocalha objetos sonoros.
- Deixa cair e apanha um brinquedo.
- Transfere um objeto de uma mão para outra a fim de pegar outro "brinquedo".
- Encontra um objeto escondido debaixo de um recipiente.
- Executa ordens simples a pedido.

Idade 1 a 2 anos

- Coloca um objeto num recipiente seguindo instrução verbal.
- Coloca objetos num recipiente esvaziando-o depois.
- Coloca objetos num recipiente , a pedido.
- Tira objetos de um recipiente, um de cada vez.
- Empilha cubos, imitando.
- Rabisca.
- Vira páginas de livro - 2 a 3 de cada vez, para achar uma figura que foi nomeada.
- Aponta para uma parte do corpo.
- Aponta para si mesma quando lhe perguntam - Onde está?...
- Aponta para uma figura nomeada.
- Coloca argola num pino.
- Constrói torre de cubos, imitando.
- Imita movimento circular.

Idade: 2 a 3 anos

- Desmonta e monta brinquedo desmontável.
- Coloca objetos "em cima de", "embaixo de", "dentro", "fora".
- Constrói torres com 5 a 6 cubos.
- Vira páginas de livro, uma de cada vez.
- Dobra papel pela metade, imitando.
- Desenha círculo.
- Combina objetos semelhantes.
- Desenha uma linha vertical imitando
- Desenha uma linha horizontal, imitando.
- Aponta para 3 cores, quando nomeadas.
- Vira maçaneta de porta, cabos, etc.
- Desembrulha objetos pequenos.
- Faz bolas de argila.
- Monta um brinquedo de 4 partes.
- Combina uma forma geométrica com a figura correspondente.
- Aponta para grande ou pequeno quando lhe pedem.
- Reconhece músicas que lhes são familiares.


Idade: 3 a 4 anos

- Encontra livro específico, quando lhe pedem.
- Aponta para figuras simples, quando nomeadas.
- Combina texturas.
- Utiliza molde.
- Corta com tesoura.
- Aponta para 10 partes do corpo seguindo uma ordem verbal.
- Diz quais os objetos que se usam junto, por imitação.
- Junta 2 partes para formar um todo (figuras).
- Combina um a um, três ou mais objetos.
- Constrói uma ponte com cubos, imitando.
- Junta quebra-cabeça de 3 peças.
- Pega o lápis entre o polegar e o indicador, descansando o 3º dedo.
- Copia linha ondulada.
- Desenha uma cruz, imitando.
- Acrescenta perna e ou braço ao desenho incompleto de uma pessoa.

Idade: 4 a 5 anos

- Pega o número especificado de objetos, quando lhe pedem.
- Copia um triangulo, a pedido.
- Separa objetos por categoria.
- Demonstra compreensão (apontando) se um objeto é pesado ou leve.
- Empilha 2 ou mais argolas numa estaca por ordem de tamanho.

Idade : 5 a 6 anos

- Desenha gravuras simples - casa, homem, árvore.
- Recorta e cola formas simples.
- Copia letras maúsculas, grandes, isoladas em qualquer lugar do papel.
- Capaz de copiar letras pequenas.
- Escreve o seu nome.
- Colore obedecendo contornos.
- Capaz de cortar gravura de revista sem sair muito do contorno.
- Copia desenhos complexos.


 http://psicopedagogiabh.blogspot.com/
Leia Mais ►
0

Sugestões clínicas para terapia com Afásicos!



1. As formas de ajudar o paciente na resolução de tarefas durante a terapia variam de acordo com o tipo e grau de severidade da afasia, com o tipo de tarefa que está sendo oferecida e, claro, com o desempenho do P (paciente). Não existem aqui formas fixas ou uma hierarquia - a escolha dos ítens fica a cargo do Fgo., que vai modificar e ampliar os exemplos citados de acordo com a necessidade e a competência do P, assim como da sua condição física e bem-estar geral.

2. Sabemos que a escolha das tarefas a serem dadas ao P deve partir, normalmente , do grau de dificuldade mais simples e assim ir-se aumentando gradativamente o número de ítens a serem oferecidos ou o grau de dificuldade, de acordo com o tipo de afasia que se está tratando.
3. O que para alguns pacientes é uma tarefa quase "impossivel", é para outros pacientes uma tarefa fácil. Um dos aspectos que se não se deve esquecer durante o decorrer da terapia é "como" o P encontra (ou não encontra) a solução da atividade. Em muitos dos casos é mais importante avaliar as estratégias do P na resolução da tarefa do que o fato de ele ter sido bem sucedido ou não.
4. A seguir temos uma lista de idéias e sugestões para algumas áreas específicas da terapia com afásicos. Com certeza trabalhamos em muitos dos exercícios mencionados outras áreas de forma indireta, ou seja, um determinado exercício envolve outros pré-requisitos de áreas que se relacionam entre si!
Sugerimos que o terapeuta trabalhe várias das tarefas abaixo mencionadas tendo como ponto de partida uma situação do dia a dia, usando uma gravura, desenho ou foto.
Por exemplo:
I. Usando uma gravura ou ilustração de uma cena do cotidiano
Frase tipo SVP (sujeito-verbo-predicado) - Ex.: Paulo bebe água
Quanto mais simples e clara a foto/desenho/ilustração mais fácil para o P, ou seja, fotos onde a cena que se quer trabalhar esteja dubiosa ou muito cheia de detalhes poderão confundir o P e dificultar o processo terapêutico.
II. Usando a gravura escolhida o terapeuta vai escolher alguns dos tópicos e vai "desenvolvê-los" com o P , sempre usando a gravura escolhida, mudando para outra "cena" só quando as etapas que foram planejadas estiverem terminadas.
III. O tipo de frase, o conteúdo e a complexidade gramatical do material vai depender do tipo de afasia.
Naturalmente as sugestões dadas podem ser "mescladas" com outros conceitos e técnicas terapêuticas, como por exemplo: PACE, MIT, MODAK, etc, se variando e modificando os ítens de acordo com o desempenho do P.
A) COMPREENSÃO DE LINGUAGEM
· Compreensão auditiva
Para facilitar a C.A. :
- Usar desenhos, pictogramas ou figuras
- Usar objetos reais
- Usar gestos e mímica
- O T diz/demonstra a função do objeto (o ou a / um ou uma)
- Ajudar o P dizendo o artigo correspondente, fazendo o debloqueamento
· Compreensão de leitura
Para facilitar a C.L.:
- Uso de pictogramas, desenhos ou figuras + palavra escrita
- Usar gestos e mímica
- Usar objetos reais + palavra escrita
- No treino de uma frase, marcar as palavras-chaves ou substantivos ou verbos de uma cor diferente (frases tipo SVP)
- No treino de um texto, dividir o texto em frases curtas e claras
- Usar figuras ou desenhos como feedback visual
- Marcar as passagens mais importantes
- Marcar os verbos com um rotulador verde (ou de outra cor)
B) PRODUÇÃO VERBAL
· Falar junto com o terapeuta
- Leitura labial
- Cantar com o P para fazer o debloqueamento (cançoes infantis ou conhecidas)
- Enfatizar o ritmo e a melodia da palavra ou frase
- Acompanhar o ritmo da frase tocando com as pontas dos dedos na mesa
- Pegar na mão do P e com ele falar a palavra ou frase de forma melódica
· Repetição
- Enfatizar o ritmo e a melodia das palavras ou frases, cantando a palavra
- Leitura labial (o T faz só os movimentos da boca, sem voz)
O P procura repetir
- Acompanhar o ritmo da frase tocando com as pontas dos dedos na mesa
- Pegar na mão do P e com ele falar de forma melódica a palavra ou frase
O T e o P repetem juntos, depois o P sozinho
· Nomear objetos (usando gravuras, desenhos ou objetos reais)
- Dizer ao P o número de letras que tem a palavra
- Mostrar ao P o número de sílabas no papel (o número de lacunas correspondentes)
- Dizer o artigo da palavra (o ou a / um ou uma)
- Usar gestos e mímica, mostrando a função pragmática do objeto
- Usar frases tipo : "Toda manhã eu tomo..."
a palavra desejada é ,no caso, café/banho etc. O T diz a frase e deixa a última palavra em aberto para que o P possa dizê-la
- Dizer ao P a primeira letra da palavra
- Mostrar a gravura/foto ao P
Dar a ele 2 ou 3 palavras, relacionadas semanticamente
Ex.: a palavra desejada é "pão" - o T diz então manteiga - queijo - mel e -----
- Mostrando a gravura dizer 2 palavras rimadas dando ao P uma idéia de como a palavra "soa"
Ex. a palavra desejada é "pão" - o T diz então chão - mão e ... (pão)
C) LEITURA EM VOZ ALTA
- Numa frase cobrir todas as palavras e só deixar uma palavra visivel (no caso, a última) para que o P possa ler.Ex: Paulo toma /café/
O T lê "Paulo toma..." e o P completa lendo a palavra-chave
- Usar palavras escritas na forma maiúscula ou de imprensa
- Tocar com a ponta dos dedos na mesa acompanhando o número de sílabas da palavra, enfatizando a sílaba tônica
- O T começa pronunciando a primeira sílaba da palavra, o P continua a ler
- Usar frases tipo : "Eu escovo os ... (a palavra desejada é , no caso, dentes)
O T lê a frase e deixa a última palavra em aberto para que o P possa ler
D) ESCRITA
· Cópia
- O P deve formar/copiar a palavra que o T mostra a ele:
...1. O T coloca na mesa todas as letras que a palavra contem, o P as coloca na ordem certa
...2. O P deve ele mesmo procurar as letras que precisa, escolhendo aquelas que constam da palavra (se a palavra tem 5 letras, dá-se ao P um total de 8 letras para que ele escolha as que ele necessita)
...3. O P escolhe sozinho as letras que ele precisa (da caixa de letras do alfabeto)
- O T mostra a palavra e a soletra, o P deve escrever/pintar ou desenhar a palavra no papel
- O P copia a palavra "outra vez" - a palavra já está escrita com letras recortadas em papel lixa, o P apenas "copia" a palavra novamente passando
o/os dedo/os sobre a palavra (estímulo tátil e visual)
- Copiar letra por letra da palavra
(o T cobre as outras letras enquanto o P copia uma após outra)
- O T mostra um objeto/foto/desenho com a palavra escrita - o P copia a palavra no papel ou pinta com o dedo/pincel, etc
· Ditado
- O P escreve/pinta ou desenha a letra que o terapeuta lhe diz
- O P forma a palavra dita pelo terapeuta com as letras na mesa (ver acima opções com 3 graus de dificuldade)
- O P escreve/pinta ou desenha a sílaba dita pelo terapeuta
- O P escreve/pinta ou desenha a palavra dita pelo terapeuta
· Nomear de forma escrita
- O T mostra ao P 2 ou 3 desenhos de objetos da mesma área semântica
O P deve escrever/pintar ou desenhar o nome do objeto descrito pelo T
- O T usa gestos e mímica mostrando a função da palavra que está sendo procurada - o P escreve/pinta ou desenha a palavra
- O T escreve a primeira sílaba da palavra - o P completa escrevendo/desenhando ou pintando a palavra
- Usar frases tipo : "Eu penteio o ..."
a palavra desejada é , no caso, cabelo. O terapeuta lê a frase e deixa a última palavra em aberto para que o P possa escrevê-la
- O T soletra a palavra e o P escreve/pinta ou desenha letra por letra no papel
- Mostrar ao P a primeira letra da palavra, ele completa então com as outras que faltam. Ex. B -- -- -- -- (BANHO)
- Mostrar ao  P a figura de um objeto
O T também mostra os nomes de 2 ou 3 palavras que se relacionam de forma semântica com a palavra procurada (ou palavras rimadas)
O P então escreve/pinta ou desenha a palavra que está sendo procurada.

 http://fonodanischepi.blogspot.com/2012/01/sugestoes-clinicas-para-o-uso-na.html
Leia Mais ►
0

Síndrome do Autismo

Leia Mais ►
0

Fonoaudiologia pode ser tratamento de rinite e asma

Publicado em Divulgação científica
27 de setembro de 2007
Pesquisa mostra que sessões de fonoaudiologia melhoram os resultados do tratamento convencional, realizado com a inalação de medicamento antiinflamatório. 
Obstrução nasal, coriza transparente, diminuição do olfato e respiração pela boca. Estes são alguns sintomas da rinite alérgica, que normalmente é desencadeada por fatores como poeira, mofo, ácaro e cigarro.
A alergia atinge entre 10 e 25% da população mundial e é considerada um “problema global de saúde pública” pela Aria, sigla em inglês para Rinite Alérgica e seu Impacto sobre a Asma, iniciativa internacional que conta com o apoio da Organização Mundial de Saúde.
Tratar a rinite significa conter o crescimento dos casos de asma, doença inflamatória que atinge os pulmões e pode até matar.
“O índice de prevalência de rinite alérgica entre os asmáticos é de 80%”, afirma a fonoaudióloga Sílvia Andrade (foto), autora da dissertação de mestrado Impacto da Terapia Miofuncional Orofacial no controle clínico e funcional da asma e da rinite alérgica em crianças e adolescentes respiradores orais, defendida no Ipsemg, sob a orientação dos professores do Departamento de Pediatria da Faculdade de Medicina da UFMG, Lincoln Freire e Maria Jussara Fernandes Fontes.
Sílvia Andrade percebeu que sessões de fonoaudiologia aliadas à inalação nasal do dipropionato beclometasona (antiinflamatório usado no tratamento de asma e rinite, conhecido como Clenil) melhoram os sintomas de forma significativa, ao educar o paciente a respirar de forma correta.
O tratamento consiste em exercícios respiratórios e musculares destinados a “automatizar” as funções respiratórias. “O objetivo era estimular as crianças a respirarem pelo nariz”, diz a fonoaudióloga. A importância da respiração nasal, segundo Sílvia, é que ela “purifica” o ar antes da chegada aos pulmões, por meio da umidificação, filtração e do aquecimento.
Antes da intervenção, o tratamento era realizado apenas com a administração oral do Clenil, que foi substituída pela inalação nasal. Depois de 16 sessões de terapia fonoaudiólogica, divididas em duas sessões semanais, alguns pacientes puderam até mesmo interromper o uso do medicamento.
 
A PESQUISA
A fonoaudióloga Sílvia Andrade selecionou 24 pacientes com idade entre 6 e 15 anos que apresentavam a coexistência de três patologias: asma, rinite alérgica e respiração oral, entre 169 crianças e adolescentes asmáticos do Ambulatório de Pneumologia Pediátrica do Posto de Atendimento Médico (PAM) do bairro Padre Eustáquio, em Belo Horizonte. Quem tinha algum tipo de “obstrução mecânica”, como hipertrofia das adenóides ou amígdalas, foi excluído.
A pesquisadora conta que o tratamento teve alta adesão, devido ao esforço conjunto dos pediatras pneumologistas e dos profissionais da Fono.
Para a co-orientadora do estudo, a professora Maria Jussara Fontes, o fortalecimento da interdisciplinaridade entre a Medicina e a Fonoaudiologia é fundamental, especialmente quando empregada no controle de uma doença de alta incidência, como a asma.
Maria Jussara também ressaltou a eficiência do tratamento. “É uma terapêutica não medicamentosa com impacto positivo de grande significância com apenas dois meses de duração”, destaca.

Os resultados foram comprovados por exames realizados no Ambulatório de Pneumologia Pediátrica do Hospital das Clínicas, reconhecido pela Sociedade Brasileira de Pediatria como Centro de Referência em Pneumologia Pediátrica no Brasil.
O orientador da pesquisa, professor Lincoln Freire, afirma que pretende dar continuidade ao trabalho, ampliando o número de pacientes observados durante o tratamento fonoaudiológico aliado ao convencional.
Mas ele esclarece que o estudo atual tem “significância estatística”, apesar de o grupo de crianças asmáticas observadas ser pequeno. “Os resultados sinalizam que essa pode ser uma estratégia importante para ser adotada como conduta definitiva”, prevê. 

Assessoria de Comunicação Social da Faculdade de Medicina da UFMG
Redação: Alessandra Ribeiro – Jornalista
divulga@medicina.ufmg.br – (31) 3248 9651


Leia Mais ►
0

Parceria entre Dermatologia e Fonoaudiologia acaba com as rugas sem cremes nem cirurgias


Estudos  apontam que as rugas diminuem com a concientizaçao dos movimentos dos musculos da face
Um trabalho conjunto entre a dermatologista Carolina Ferolla, mestre e doutora pela Universidade de São Paulo - USP e a fonoaudióloga Silvia Regina Pierotti, Mestre em Distúrbios da Comunicação, apontam resultados inovadores na luta contra as rugas.

A parceria das duas médicas começou a partir do atendimento a pacientes com disfunção miofuncional orofacial.

Percebeu-se que pacientes encaminhados pelo ortodontista, em razão de alterações do sistema estomatognático, acabavam ganhando também melhora do ponto de vista estético. Muitos deles apresentavam tensão exagerada dos músculos mímicos, assimetria, articulação exagerada durante a fala, deglutição com contração da musculatura perioral e hábitos orais que, além de prejudicar o equilíbrio entre forma e função, influenciavam de forma negativa a estética da face.

As duas profissionais observaram que muitas rugas de expressão poderiam ter sido evitadas ou atenuadas com o trabalho de conscientização sobre as contrações musculares inadequadas, que se repetem diversas vezes durante a fala, a     mastigação, a deglutição e a respiração. Fazendo uma avaliação minuciosa, garante-se um diagnóstico preciso sobre os aspectos funcionais e estéticos, possibilitando um trabalho interdisciplinar, afirma a dermatologiasta Carolina Ferolla.

Atuação Fonoaudiológica

A atuação fonoaudiológica, na estética da face, busca prevenir, adequar e reequilibrar os músculos da mímica facial, crânio cervical e das funções orofaciais que podem estar alterados pelo envelhecimento, por atividade muscular excessiva e ou por distúrbios orofaciais e cervicais. Este trabalho proporciona ao indivíduo uma aparência mais saudável, com expressões mais suaves e esteticamente hamoniosas; resultando em um melhor funcionamento de todo o complexo orofacial e cervical.

Muitas vezes, o aparecimento das rugas pode estar relacionado às alterações miofuncionais e posturais. Os movimentos oculares, a mastigação, a deglutição e a fala ocorrem com muita freqüência em nosso dia-a- dia e, se estes forem realizados de forma inadequada, podem contribuir significativamente no aparecimento precoce de marcas de expressão indesejadas.

Avaliação

Nesta situação mais informal, onde o paciente não se sente avaliado, a caracterização dos movimentos mímicos, da postura habitual, respiração, deglutição de saliva, articulação da fala, voz e coordenação entre as funções, também podem ser constatados os movimentos mímicos exagerados. É também durante a avaliação que eventualmente podemos presenciar algum tipo de hábito oral como, por exemplo, o apertamento dental, ou morder lábios e bochechas. Algumas relações emocionais também podem ser notadas. Todas estas observações devem ser anotadas como parte fundamental da avaliação, explica a fonoaudióloga.

A postura corporal deve ser observada desde a sala de espera, tanto sentado como em pé e andando até o consultório. Analisa-se a tensão do pescoço, a postura da cabeça e ombros em relação à simetria e hiperextensão anterior ou posterior e assimetrias. Quando necessário, encaminha-se para uma avaliação postural.

Prosseguindo, observa-se na face a fisionomia, que seria o resultado das expressões habituais. Isso dá uma idéia de como o indivíduo usa sua face para se comunicar. Na análise facial, verifica-se a existência ou não de tensão muscular constante e, possíveis hábitos como os de morder ou umedecer os lábios.

Com o diagnóstico concluído, apresenta-se para o paciente as alterações encontradas, suas possíveis causas e a conduta a ser realizada. Algumas vezes é preciso estabelecer a hierarquia dos tratamentos, em outras, o uso combinado  produzirá o efeito estético mais desejado finaliza fonoaudióloga Silvia Regina Pierotti.

Tratamento

O tratamento, inicialmente deverá ter um enfoque maior na queixa principal do paciente, pois sabe-se, que o trabalho terá uma evolução mais rápida quanto maior for o seu interesse. À medida que vai observando as mudanças, ele estará mais envolvido com o trabalho terapêutico.

A conscientização é fundamental, pois o nosso tratamento é uma reeducação e exige do paciente uma participação ativa no processo terapêutico, explica a Drª Carolina Ferolla. Ao analisarmos juntos a sua filmagem muitas vezes o indivíduo se surpreende com sua forma de falar, de deglutir e mastigar. É neste momento, que o dinamismo muscular torna-se consciente. Será feito um trabalho proprioceptivo, objetivando o seu maior autoconhecimento.

A reeducação funcional deverá ser incorporada em seu dia-a-dia levando a automatização dos novos padrões. Por meio de massagens, manobras de alongamento e exercícios isotônicos e isométricos dos músculos da face, da língua, da mastigação, dos supra e infra-hióideos e cervicais, vão atuar diretamente na musculatura, aumentando a oxigenação dos tecidos, trazendo o reequilíbrio muscular.  
 Por Dra. Carolina Ferolla - Dermatologista
Leia Mais ►
0

Cérebro 'começa a declinar aos 45 anos', diz estudo


Um estudo realizado pela University College de Londres (UCL) indicou que as funções do cérebro podem começar a se deteriorar já aos 45 anos de idade.
Entre mulheres e homens com idades entre 45 e 49 anos, os cientistas perceberam um declínio no raciocínio mental de 3,6%.
As conclusões contradizem pesquisas anteriores sugerindo que o declínio cognitivo só começaria depois dos 60.
O estudo, publicado na revista científica British Medical Journal, foi conduzido ao longo de dez anos, entre 1997 e 2007.
Os cientistas avaliaram a memória, o vocabulário e as habilidades cognitivas – de percepção ou de compreensão – de quase 5,2 mil homens e 2,2 mil mulheres entre 45 e 70 anos, todos, funcionários públicos britânicos.
Os resultados demonstraram uma piora em memória e cognição visual e auditiva, mas não em vocabulário – com um declínio mais acentuado nas pessoas mais velhas.
Entre os indivíduos entre 65 e 70 anos, eles perceberam um declínio mental foi de 9,6% entre homens e 7,4% entre mulheres da mesma idade.
Para os cientistas, isso quer dizer que a demência não é um problema exclusivo da velhice, e sim um processo que se desenrola ao longo de duas ou três décadas.
"É importante identificar os riscos cedo. Se a doença começou em um indivíduo nos seus 50 que só começa a ser tratado nos 60, como fazemos para separar causa e efeito?", questiona o professor Archana Singh-Manoux, do Centro de Pesquisas em Epidemiologia e Saúde da População, na França, que conduziu a pesquisa na instituição londrina.
"O que precisamos agora é analisar aqueles que experimentam um declínio cognitivo mais rápido que a média e saber como parar o declínio. Algum nível de prevenção definitivamente é possível", afirma.

Crise de meia-idade

Singh-Manoux argumenta que as taxas de demência devem aumentar na sociedade na medida em que as funções cognitivas estão conectadas a hábitos e estilo de vida, através de fatores como o fumo o nível de exercício físico.
Para a Sociedade contra o Alzheimer, uma organização de pesquisa e lobby no combate à demência, o estudo mostra a necessidade de mais conhecimento das mudanças no cérebro que sinalizam o problema.
"O estudo não diz se qualquer dessas pessoas chegou a desenvolver demência, nem quão viável seria para o seu médico detectar essas primeiras mudanças", afirmou a gerente de Pesquisas da Alzheimer Society, Anne Corbett.
"São necessários mais estudos para estabelecer as mudanças mensuráveis no cérebro que possam nos ajudar a melhorar o diagnóstico da demência."
O diretor de Pesquisas na organização, Simon Ridley, reforçou a necessidade de conscientizar a população sobre os benefícios de ter hábitos saudáveis.
"Embora não tenhamos uma maneira infalível de prevenir a demência, sabemos que mudanças simples de hábitos – adotar uma dieta saudável, não fumar, manter o colesterol e a pressão do sangue sob controle – reduzem o risco de demência", afirmou.
"Pesquisas anteriores indicaram que a saúde na meia-idade afeta o risco de demência durante o envelhecimento, e estas conclusões nos dão mais razões para cumprir as resoluções de Ano Novo."

http://www.bbc.co.uk/portuguese/noticias/2012/01/120106_demencia_estudo_pu.shtml
Leia Mais ►
0

Neuroplasticidade Cerebral

Neuroplasticidade

A ocorrência de uma lesão no cérebro, independente de sua causa, pode provocar perda da função da área afetada.Isso porque o cérebro é todo dividido em áreas, sendo que cada área é responsável por uma função no nosso organismo. Por exemplo: há uma área responsável pela linguagem, tanto em relação à compreensão como na expressão, outra área responsável pelo ato de engolir e até mesmo uma área responsável pela movimentação dos dedos !Quando ocorre uma lesão decorrente de derrame (AVC), por exemplo, a pessoa vai apresentar dificuldade em realizar as funções que aquela área realizava antes.

O processo de reabilitação vai contribuir com o fenômeno denominado “Neuroplasticidade”, que consiste em uma reorganização dos mapas corticais. 
Após ocorrer uma lesão, são observadas mudanças que podem ocorrer em regiões homólogas do hemisfério não afetado, que assumem as funções perdidas, ou no córtex intacto adjacente a lesão. Graças a essas reorganizações corticais, que podem se prolongar por meses após a lesão, os pacientes podem recuperar, pelo menos em parte, as habilidades que haviam sido perdidas.

Em suma: Após a ocorrência da lesão cerebral, o paciente fica com dificuldades para realizar as funções que a área lesada realizava. O processo de reabilitação fonoaudiológico é baseado na Neuroplasticidade, em que as demais áreas não afetadas passam a realizar as funções da área comprometida. 
Vale ressaltar que há estudos científicos que sugerem maior ativação do fenômeno da Neuroplasticidade durante os 3 primeiros meses pós-lesão cerebral, o que destaca a importância de início precoce do tratamento.

Concluindo, a atuação correta e eficaz da equipe de reabilitação na estimulação da plasticidade é de fundamental importância para a recuperação máxima das funções do indivíduo. Isso implica na escolha certa do tratamento e na intensidade do mesmo, o que apenas um profissional habilitado poderá realizar.
 
http://fonoaudialogue.blogspot.com/2012/01/neuroplasticidade.html
Leia Mais ►

Vem comigo!

A Divulgação da Fonoaudiologia!

AVISO

Este Blog é uma central de compartilhamento de informações, notícias, trabalhos científicos e arquivos. Sendo seu objetivo principal a interação entre fonoaudiólogos ou estudantes de fonoaudiologia e áreas correlacionadas, sendo assim sua participação é sempre de extrema importância. Além das informações e orientações sobre Fonoaudiologia e áreas correlacionadas, estarão disponíveis materiais terapêuticos, sendo que as autorias sempre serão respeitadas. O fornecimento dos Download visa suprir a dificuldade de acesso e aquisição de materiais em nossas áreas de atuação, porem jamais fazendo apologia a pirataria. Assim deixo um pedido: Caso possam adquirir as obras nas livrarias, compre-as, contribuindo assim com os autores e com o movimento da máquina científica. As publicações de minha autoria que estão sendo disponibilizadas podem ser utilizadas de forma livre pelos visitantes, peço apenas que divulguem a fonte e autoria do material.
“As informações e sugestões contidas neste site têm caráter meramente informativo. Elas não substituem o aconselhamento e o acompanhamento ao Odontopediatra, Ortopedia Funcional dos Maxilares, Ortodontia,Fonoaudiologia, Nutrição, Psicologia, Pediatria e outros especialistas”